Le syndrome d'apnées obstructives du sommeil (saos)
Articles similaires
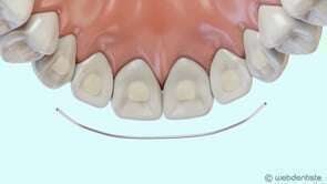
Contention de Hawley
Vidéos 3D
L'hygiène en orthodontie
Vidéos 3D
Passage Lecerf
38150
ROUSSILLON
Passage Lecerf
38150
ROUSSILLON
Vidéo en cours de lecture
